
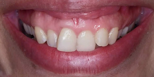
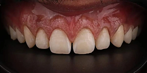
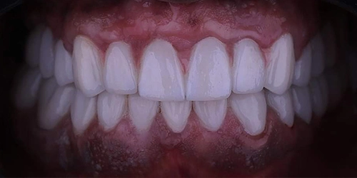
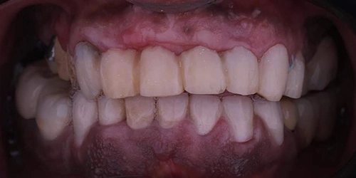
فينير الأسنان
فينير الاسنان هي قشور رقيقة السمك لا تتعدى 0.3 مللي ، و يتم تركيبها على أسطح الاسنان الخارجية لتجميل الاسنان و كذالك تحسين مظهرك العام ، ويفضل البعض أن يطلق عليها اسم “عدسات الأسنان اللاصقة”، كما يمكن للأشخاص تركيب الفينير على الأسنان بالكامل أو على سن واحد فقط. استخدامات فينير الاسنان علاج تصبغات الاسنان و […]
اقرأ المزيد









